Пряма композитна реставрація. Фронтальна та бокова ділянка від Ірини Чопик - S-Education

Пряма композитна реставрація. Фронтальна та бокова ділянка

Лектор
Ірина Чопик

Стоматолог-терапевт, реставратор.

Професійне спрямування: діагностика та лікування карієсу, відновлення первинного дизайну зуба, естетичні реставрації під мікроскопом, відбілювання зубів.

Основна освіта: стоматологічний факультет Львівського національного медичного університету ім. Данила Галицького.

Додаткова освіта: курси по реставрації на базі клініки С.В. Радлінського «Аполонія» (м. Полтава), «Layers and the StyleItaliano methods» Dr. Jordi Manautaта (м. Київ), “Natural layering – direct composite” Dr. Felipe Villa Verde та багато інших вузькопрофільних  курсів по реставраціях.

Досвід роботи у стоматологічній терапії – більше 11-ти років. Вирішує складні випадки з відновлення зубів прямими реставраціями. Активна учасниця міжнародної стоматологічної спільноти “Style Italiano” та учасниця міжнародних та всеукраїнських конференцій і конгресів.

детальніше про програму
Програма курсу
ПРИДБАТИ курс
День 1:

Теоретична частина:

  • Аналіз вихідної ситуації для планування композитної реставрації 
  • Анатомія та морфологія передніх та задніх зубів 
  • Розбір насиченості, яскравості, непрозорості та напівпрозорості
  • Вибір матеріалів: композитні  системи
  • Вибір відтінку для майбутньої реставрації
  • Використання фарб 
  • Пошарова техніка реставрації 
  • Підготовка тканин зуба до реставрації
  • Підбір матриць
  • Адгезивний протокол

Практична частина:

  • Робота з діагностичним wax-up та силіконовим ключем
  • Ізоляція за допомогою кофердаму
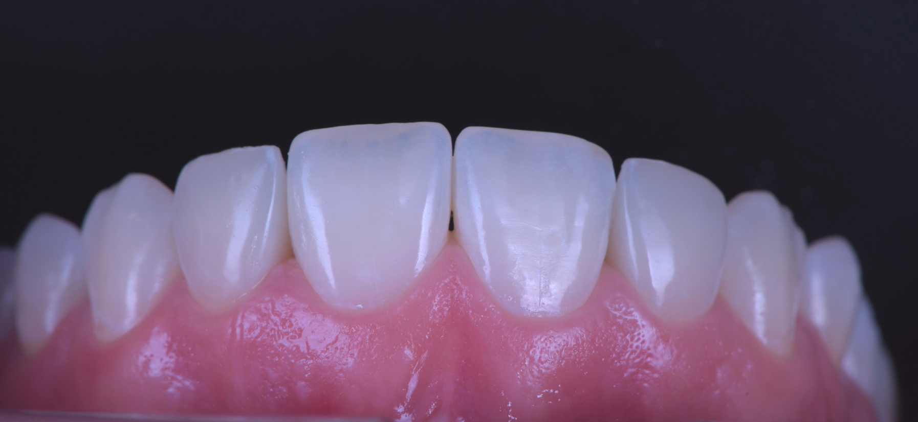
  • Реставрація зламаного центрального різця

Теоретична частина:

  • Закриття діастеми
  • Композитні вініри
  • Реставрація дисколоритних зубів
  • Макро- та мікротекстура

Практична частина:

  • Реставрація двох центральних різців в техніці композитного вінірування
День 2:

Теоретична частина:

  • Показ до прямої та непрямої реставрації 
  • Анатомія оклюзійних поверхонь при відновленні жувальних зубів.
  • Внутрішня морфологія (дентин та емаль)
  • Підбір та адаптація матриці
  • Техніка нашарування в реставрації жувальних зубів
  • Ефективна обробка та полірування

Практична частина:

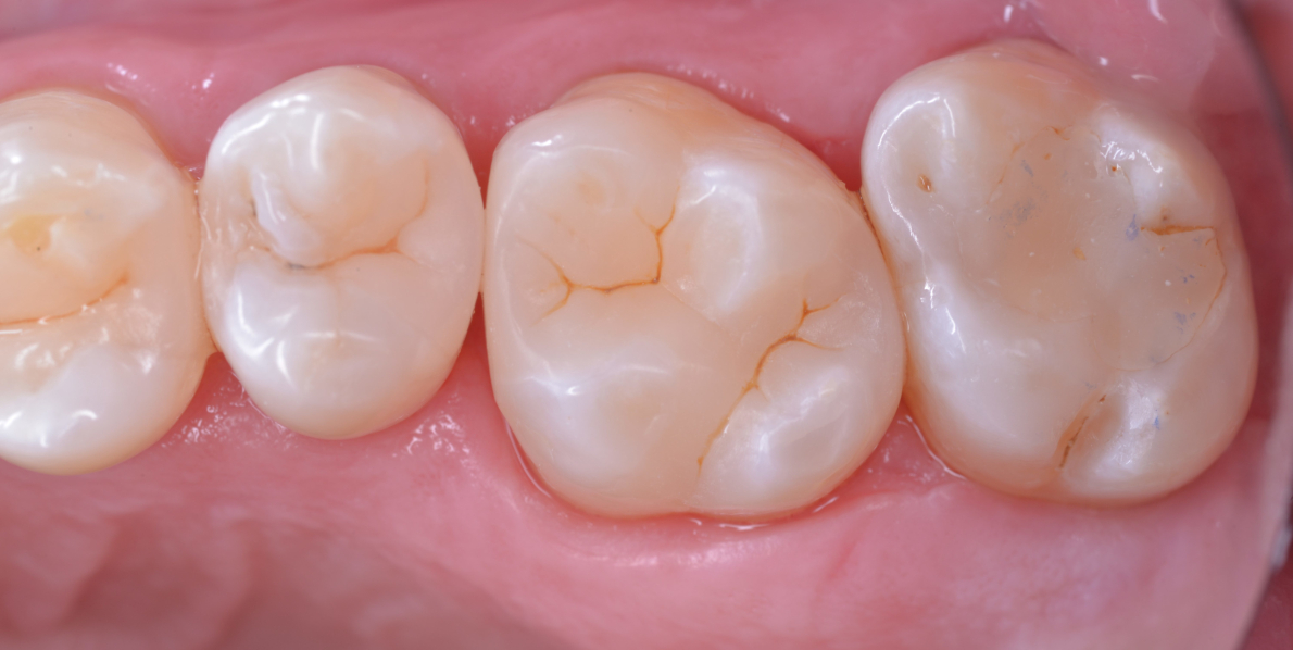
  • Відновлення моляра з дефектом МО поверхні 
  • Відновлення моляра з дефектом оклюзійної поверхні 

Теоретична частина:

  • Протокол реставрації травми фронтального зуба ( коли є фрагмент та коли він втрачений)
  • Розбір помилок на всіх етапах реставрації
ЗАБРОНЮВАТИ МІСЦЕ

    Ім‘я та прізвище

    Email

    Номер телефону

    Учасник курсу

    З якого Ви міста?

    Чи маєте особливості харчування?

    Промокод

    Застосувати промокод

    Забронювати

    ЧАСТІ ПИТАННЯ ТА ВІДПОВІДІ
    Чи є сертифікат після завершення курсу?

    Так!

    По завершенню курсу кожен учасник отримує сертифікат з балами БПР від нашого провайдера №2212.

    Чи можна отримати індивідуальну консультацію від лекторів?

    Наші лектори завжди відкриті до зв’язку з учасниками!

    Перед курсом учасник отримує доступ до чату з лектором, де може задати питання до, під час, та після курсу.

    Окрім цього, наші курси це потужний простір для нетворкінгу з іншими учасниками та лекторами!

    Які курси ви пропонуєте?

    Навчальні платформи S-education та Perio Education забезпечують навчальні курси в різноманітних сферах стоматології, а саме: хірургічна стоматологія, пародонтологія, ортопедична стоматологія, терапевтична стоматологія, дитяча стоматологія.

    Наші лектори – провідні спеціалісти в своїх галузях!
    Запрошуємо переглянути наші курси та приєднатися вже зараз!

    Яка різниця між семінаром та майстер-класом?

    Під час семінару лектор проводить теоретичну лекцію на певну тему, презентує клінічні кейси та обговорює їх з учасниками.

    Майстер-клас – це практичний формат навчання, на якому учасник спершу спостерігає за демонстраціїю від лектора, а згодом відпрацьовує її самостійно під пильним наглядом лектора.

    Набуття практичного досвіду - запорука успіху Розширте свої навички у стоматології Підвищуйте свою компетентність
    Гортай
    Ми використовуємо файли cookie для оптимізації контенту та покращення роботи сайту. Натиснувши "Дозволити" ви погоджуєтеся на використання файлів cookie