Пряма композитна реставрація. Техніка вінірування в "BOX" протоколі - S-Education

Пряма композитна реставрація. Техніка вінірування в "BOX" протоколі від Віталія Богачука

Лектор
Віталій Богачук

Лікар-стоматолог, спеціаліст в області естетичної стоматології, міжнародний спікер, переможець проектів MVision 2017 і чемпіонату по непрямій реставрації за версією OHI-S 2018.

детальніше про програму
  • жива відео-демонстрації.
  • 70% – практика
  • 30% – теорія
  • кількість місць обмежена –  10 осіб
  • кожен учасник працюватиме зі збільшенням
Програма курсу
ПРИДБАТИ курс
День 1:

ТЕОРЕТИЧНА ЧАСТИНА:

  1. Необхідний фотопротокол та його аналіз
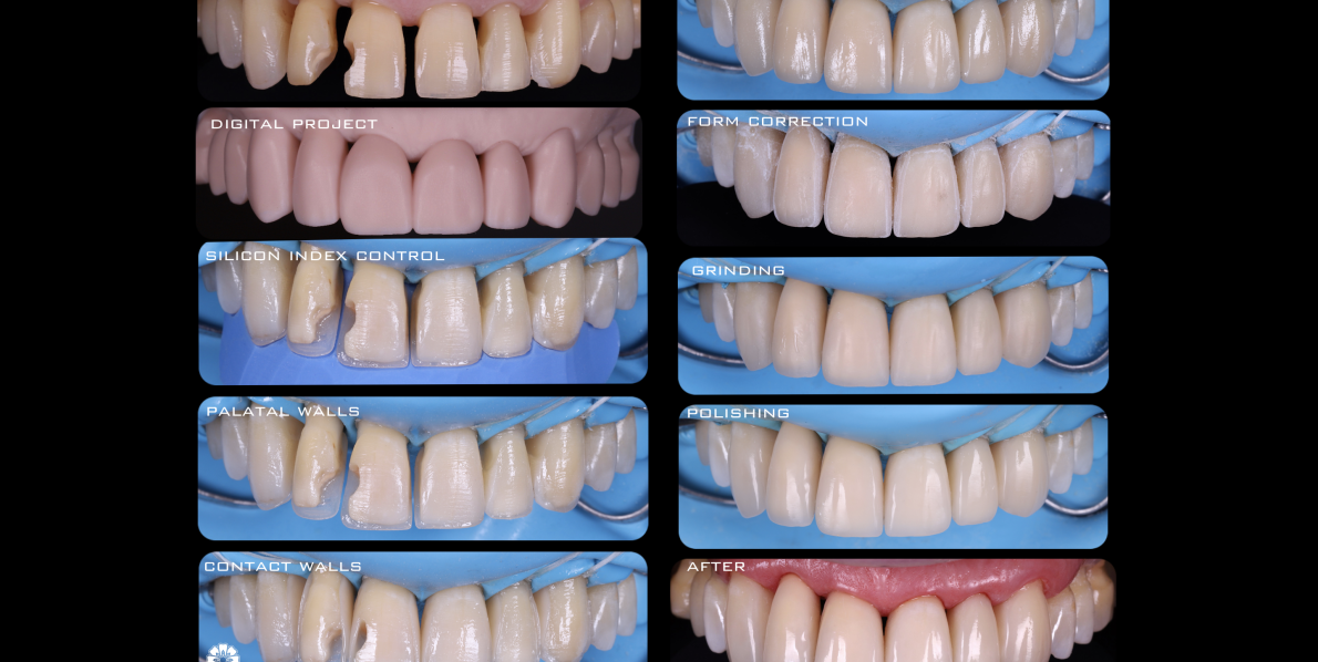
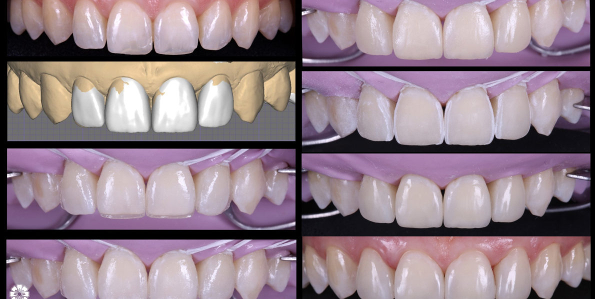
  2. 2D дизайн майбутньої посмішки в програмі Smile cloud.
  3. Реалізація індивідуальної функціональної складової проекту посмішки за рахунок цифрового аксіографа Modjaw
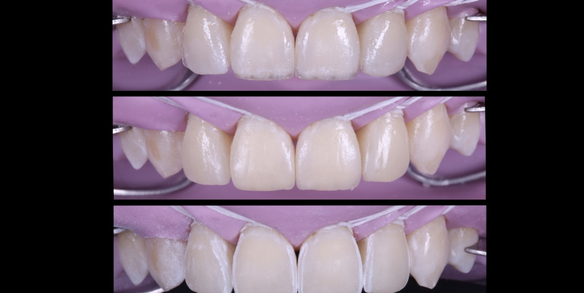
  4. “Box” протокол композитної реставрації.

ПРАКТИЧНА ЧАСТИНА:

  1. Демонстрація виготовлення силіконового шаблону для відновлення піднебінної стінки. Правила фінальної підготовки шаблону. Розбір основних помилок.
  2. Демонстація відновлення піднебінних стінок, контактних поверхонь та дентинного шару усієї фронтальної групи верхньої щелепи (13-23).
  3. Відпрацювання  виготовлення силіконового шаблону для відновлення піднебінної стінки
  4. Відпрацювання відновлення піднебінних стінок, контактних поверхонь та дентинного шару усієї фронтальної групи верхньої щелепи (13-23).
  5. Розбір виконаної роботи кожного учасника курсу 

 

 

День 2:

ТЕОРЕТИЧНА ЧАСТИНА:

  1. Все про основні формоутворюючі елементи дентальної естетики
  2. Як працювати кольором в техніці вінірування
  3. Оптика ріжучого краю
  4. Робочі адгезивні протоколи

 

ПРАКТИЧНА ЧАСТИНА:

  1. Демонстрація відновлення оптично складного ріжучого краю: мамелони, опалесенція, halo ефект, додаткові характеризації
  2. Демонстрація вінірування вестибулярної поверхні фронтальної групи верхньої щелепи (13-23)
  3. Демонстрація фінішної обробки композитних реставрацій
  4. Відпрацювання відновлення оптично складного ріжучого краю: мамелони, опалесенція, halo ефект, додаткові характеризації
  5. Відпрацювання вінірування вестибулярної поверхні фронтальної групи верхньої щелепи (13-23)
  6. Відпрацювання фінішної обробки композитних реставрацій
  7. Розбір виконаної роботи кожного учасника курсу
ЗАБРОНЮВАТИ МІСЦЕ

    Ім‘я та прізвище

    Email

    Номер телефону

    Учасник курсу

    З якого Ви міста?

    Чи маєте особливості харчування?

    Промокод

    Застосувати промокод

    Забронювати

    ЧАСТІ ПИТАННЯ ТА ВІДПОВІДІ
    Чи є сертифікат після завершення курсу?

    Так!

    По завершенню курсу кожен учасник отримує сертифікат з балами БПР від нашого провайдера №2212.

    Чи можна пройти лише 1 модуль на модульній програмі?

    Модульна програма – це комплексне навчання певної стоматологічної спеціалізації, яке дає обширні знання та комбіновані рішення для ваших кейсів.

    Пройти та отримати сертифікат після модульної програми можливо лише при умові відвідування учасником усіх модулів!

    Чи можна отримати індивідуальну консультацію від лекторів?

    Наші лектори завжди відкриті до зв’язку з учасниками!

    Перед курсом учасник отримує доступ до чату з лектором, де може задати питання до, під час, та після курсу.

    Окрім цього, наші курси це потужний простір для нетворкінгу з іншими учасниками та лекторами!

    Які курси ви пропонуєте?

    Навчальні платформи S-education та Perio Education забезпечують навчальні курси в різноманітних сферах стоматології, а саме: хірургічна стоматологія, пародонтологія, ортопедична стоматологія, терапевтична стоматологія, дитяча стоматологія.

    Наші лектори – провідні спеціалісти в своїх галузях!
    Запрошуємо переглянути наші курси та приєднатися вже зараз!

    Набуття практичного досвіду - запорука успіху Розширте свої навички у стоматології Підвищуйте свою компетентність
    Гортай
    Ми використовуємо файли cookie для оптимізації контенту та покращення роботи сайту. Натиснувши "Дозволити" ви погоджуєтеся на використання файлів cookie