Пряма композитна реставрація бокової ділянки від Ярини Гавришкевич - S-Education

Пряма композитна реставрація бокової ділянки

Лектор
Ярина Гавришкевич

Магістр медицини

Асистент кафедри терапевтичної стоматології Львівського національного медичного університету імені Данила Галицького з 2017 р.

Переможець “Конкурсу молодих спеціалістів”- 2016.

Проходила стажування на базі стоматологічної клініки в Університеті Любліна (2012р.), навчання на базі зуботехнічної лабораторії у Daniele Rondoni (м.Савона, Італія,2018 р.),  практичний курс в Camillo d’Arcangelo на базі Університету Габріеле д’Аннунціо (м.К’єті, Італія, 2020 р.).

детальніше про програму

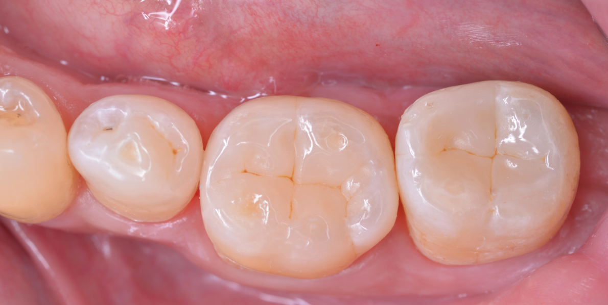
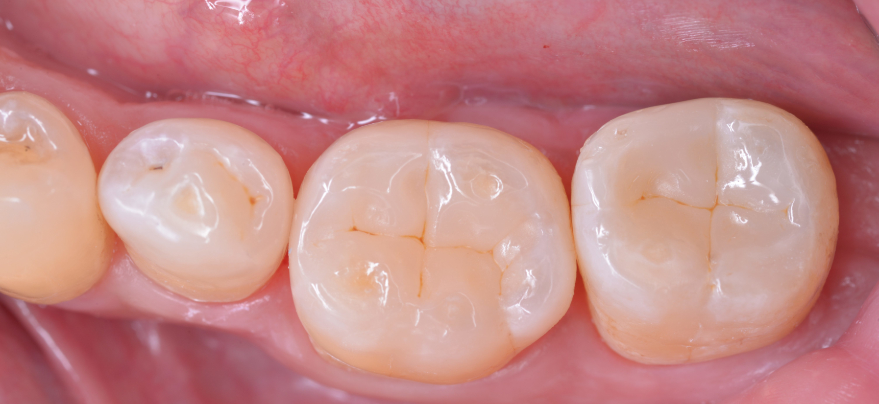
Базовий курс для стоматологів-терапевтів, які бажають поглибити та структуризувати свої знання в прямих реставраціях бокової ділянки від провідного спеціаліста та стоматолога-терапевта Solonko Sovyak Dentistry Center – Ярини Гавришкевич.

 

 

 

Програма курсу
ПРИДБАТИ курс
День 1 (теорія):
  • Сильні та слабкі сторони прямої реставрації у боковому сегменті
  • Планування реставраційного лікування в контексті комплексного підходу до реабілітації пацієнта
  • Діагностика карієсу контактних поверхонь та фісурного карієсу: чим ми керуємось, коли обираємо «лікувати» чи «спостерігати»? 
  • Особливості ізоляції робочого поля
  • Якісне препарування is the key! 
  • Оголення пульпи при препаруванні: тактика дій.
  • Адгезивний протокол при реставрації бокової ділянки: що особливого і де ми допускаємо помилки.
  • Вибір композиту. Вибір фарби. Тонкощі моделювання.
  • Відновлення контактних поверхонь
  • Все про матриці, клинці та кільця: як обрати
  • Реставрація глибоких підʼясенних дефектів (DME)
  • Менеджмент тріщин коронкової частини 
  • Полірування до дзеркального блиску: протокол
  • Розбір клінічних випадків
  • Що впливає на довговічність реставрації?
День 2 (практика):
  • Розбір анатомії молярів та премолярів обох щелеп
  • Моделювання на фантомах ( I та II клас)
  • Фінішна обробка та полірування реставрацій
ЗАБРОНЮВАТИ МІСЦЕ

    Ім‘я та прізвище

    Email

    Номер телефону

    Учасник курсу

    З якого Ви міста?

    Чи маєте особливості харчування?

    Промокод

    Застосувати промокод

    Забронювати

    ЧАСТІ ПИТАННЯ ТА ВІДПОВІДІ
    Чи є сертифікат після завершення курсу?

    Так!

    По завершенню курсу кожен учасник отримує сертифікат з балами БПР від нашого провайдера №2212.

    Чи можна отримати індивідуальну консультацію від лекторів?

    Наші лектори завжди відкриті до зв’язку з учасниками!

    Перед курсом учасник отримує доступ до чату з лектором, де може задати питання до, під час, та після курсу.

    Окрім цього, наші курси це потужний простір для нетворкінгу з іншими учасниками та лекторами!

    Які курси ви пропонуєте?

    Навчальні платформи S-education та Perio Education забезпечують навчальні курси в різноманітних сферах стоматології, а саме: хірургічна стоматологія, пародонтологія, ортопедична стоматологія, терапевтична стоматологія, дитяча стоматологія.

    Наші лектори – провідні спеціалісти в своїх галузях!
    Запрошуємо переглянути наші курси та приєднатися вже зараз!

    Яка різниця між семінаром та майстер-класом?

    Під час семінару лектор проводить теоретичну лекцію на певну тему, презентує клінічні кейси та обговорює їх з учасниками.

    Майстер-клас – це практичний формат навчання, на якому учасник спершу спостерігає за демонстраціїю від лектора, а згодом відпрацьовує її самостійно під пильним наглядом лектора.

    Набуття практичного досвіду - запорука успіху Розширте свої навички у стоматології Підвищуйте свою компетентність
    Гортай
    Ми використовуємо файли cookie для оптимізації контенту та покращення роботи сайту. Натиснувши "Дозволити" ви погоджуєтеся на використання файлів cookie